Skip to main content

Studie des Forschungscampus Mittelhessen: Vorhersage entlastet das Gehirn

Regionalmanagement Mittelhessen GmbH Gepostet von Regionalmanagement Mittelhessen GmbH in Aktuelles aus Mittelhessen 6 min. Lesezeit

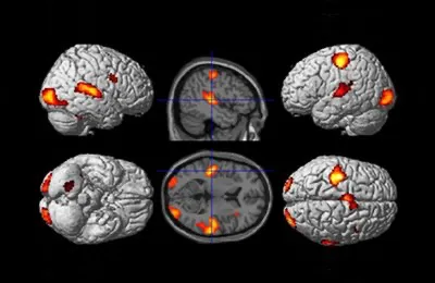
Die Hirnaktivität lässt sich farbig darstellen, wenn man das Hirn mittels Magnetresonanz-Tomografie durchleuchtet. Abb.: Benjamin StraubeSinneswahrnehmungen
kosten unser Hirn weniger Energie, wenn wir die Vorkommnisse, die wir wahrnehmen, selbst hervorrufen. Das zeigt eine Studie von Wissenschaftlerinnen
und Wissenschaftlern des Forschungscampus Mittelhessen, die ihre Ergebnisse im Wissenschaftsmagazin „PLOS ONE
veröffentlicht haben. Die Autorinnen und Autoren vermuten, dass es für verschiedenartige Sinnesreize Vorhersagemechanismen gibt, die im Kleinhirn lokalisiert
sind.

Wer eine Handlung ausführt, erwartet bestimmte Wirkungen, die sich durch Sinnesempfindungen wahrnehmen lassen: Beim Anklopfen sehen wir die Bewegung der
Hand, spüren den Druck gegen die Fingerknöchel und hören gleichzeitig das Klopfgeräusch. „Um erfolgreich mit der Umwelt zu interagieren, ist es unverzichtbar,
die eigenen Handlungen und die durch sie hervorgerufenen Sinneseindrücke wahrzunehmen“, erläutert der Marburger Heisenberg-Professor Dr. Benjamin Straube,
der Erstautor des wissenschaftlichen Aufsatzes. Die Folgen der eigenen Handlungen sind in hohem Maße vorhersehbar; ihre Verarbeitung erfordert daher
weniger Energie als die von anderen Ereignissen, die ohne unser Zutun stattfinden.

„Bisher wurden Vorhersage-Mechanismen auf neuronaler Ebene nur für einzelne Sinneseindrücke untersucht, etwa für sichtbare, hörbare oder tastbare Reize“,
ergänzt Koautor Professor Dr. Tilo Kircher von der Philipps-Universität Marburg. Da die Welt außerhalb wissenschaftlicher Laboratorien in der Regel
mehrere Sinne gleichzeitig stimuliert (wenn man beispielsweise in die Hände klatscht und das Ergebnis sieht, fühlt und hört), stellt sich die Frage,
ob und wie wir multisensorische Konsequenzen vorhersagen. „In der aktuellen Studie untersuchen wir erstmals die neuronalen Prozesse, die mit der Wahrnehmung
verschiedenartiger Sinneseindrücke einhergehen, die durch eigene Handlungen hervorgerufen werden“, erklärt Mitverfasserin Professorin Dr. Katja Fiehler
von der Justus-Liebig-Universität Gießen.

Die beteiligten Forscherinnen und Forscher führten ausgeklügelte Experimente durch und setzten dabei Bildgebungsverfahren ein, mit denen sich nachweisen
lässt, wie viel Sauerstoff die roten Blutkörperchen im Hirn enthalten – ein Maßstab für die Hirntätigkeit. Während ein Magnetresonanz-Tomograf Aufnahmen
vom Hirn der 21 Probandinnen und Probanden anfertigte, empfingen diese hörbare oder sichtbare Reize oder eine Kombination aus beidem, nämlich Punkte
auf einem Bildschirm und Töne über Kopfhörer.

Im aktiven Zustand lösten die Teilnehmerinnen und Teilnehmer die Reize selbst durch Knopfdruck aus und mussten erkennen, ob die Signale verzögert erschienen.
Im passiven Zustand mussten sie erkennen, ob es sich um einzelne oder kombinierte Sinnesreize handelt, ohne dass sie diese selbst auslösten.

Die unterschiedlichen Aufgabenstellungen wirkten sich auf die Hirntätigkeit aus: Lösten die Beteiligten die Signale selbst aus, so sank die Sauerstoffkonzentration
des Blutes in Hirnregionen, die Zentren zur Verarbeitung visueller und akustischer Reize umfassen. „Offenbar muss das Gehirn weniger arbeiten, wenn
wir das Auftreten eines Tons oder Punkts auf dem Bildschirm vorhersagen können“, konstatiert Straube. „Diese Vorhersage-Mechanismen sind wahrscheinlich
im linken Kleinhirn lokalisiert.“

Dr. Benjamin Straube hat eine Heisenberg-Professur für Translationale Neurobildgebung an der Philipps-Universität Marburg inne; Professor Dr. Tilo Kircher leitet die Marburger Universitäts-Klinik für Psychiatrie und Psychotherapie. Dr. Katja Fiehler ist Heisenberg-Professorin
für Allgemeine Psychologie mit dem Schwerpunkt „Wahrnehmung und Handlung“ an der Justus-Liebig-Universität Gießen. Neben den Arbeitsgruppen aus Marburg
und Gießen sind weitere Wissenschaftler aus Halle und Toronto in Canada an der Studie beteiligt, die unter anderem von der Deutschen Forschungsgemeinschaft
durch ihren mittelhessischen Sonderforschungsbereich „Kardinale Mechanismen der Wahrnehmung“ (SFB 135) finanziell gefördert wurde.

Der Forschungscampus Mittelhessen ist eine gemeinsame Einrichtung der Justus-Liebig-Universität Gießen, der Philipps-Universität Marburg und der Technischen
Hochschule Mittelhessen zur Stärkung der regionalen Verbundbildung insbesondere in der Forschung und der Nachwuchsförderung.

Originalveröffentlichung:Benjamin Straube & al.:Predicting the multisensory consequences of one’s own action: BOLD suppression in
auditory and visual cortices, PLOS ONE 2017,
DOI: http://dx.doi.org/10.1371/journal.pone.0169131